
Contact lenses price
Contact lenses price and duration or dental contact lenses value are common doubts among people who would like to improve their smile. Find out all about this aesthetic treatment that can transform smiles:
Contact lenses are made at the ImplArt Clinic using computer graphics, where we are able to digitally plan the ideal aesthetic for each patient. They are pure porcelain and made by milling on super-modern equipment in our digital laboratory.
The price and duration of dental contact lenses can vary according to the technique and material used. It is important to consult our specialists for precise information on the cost of treatment. Contact lenses are a modern aesthetic option for improving your smile, as they are made from high-quality porcelain.
Learn about the differences between dental contact lenses and resin veneers: Differences between dental contact lenses and resin veneers
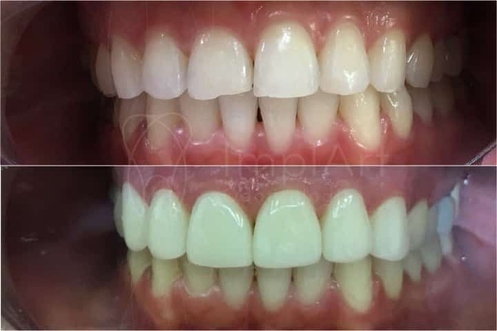
The manufacturing process involves the use of advanced technology, such as milling on modern equipment, guaranteeing an ideal aesthetic result. The digital laboratory plays an important role in the creation of contact lenses, allowing detailed and personalized planning for each patient. Below is a photo of a case with BEFORE and AFTER PORCELAIN CONTACT LENS:

Topics in this article about dental contact lenses
What are dental contact lenses?
Dental lenses are a modern technique that can certainly transform the aesthetics of your smile quickly. They are ultra-thin porcelain veneers (0.2 mm) that are bonded to the outside of the teeth in order to correct certain defects in the teeth.
This is the case, for example, with stains, small fractures, asymmetries, diastemas (exaggerated space between teeth), very short teeth, among others. Dental contact lens treatment is undoubtedly the secret to the smiles of the famous.
What is the best material for dental contact lenses?
They are made from dental porcelain. This is a glassy ceramic material (lithium disilicate) that is very resistant and imitates the texture and shades of natural teeth. It is certainly a safe material and totally biocompatible with the human body.

What is the difference between dental contact lenses and resin veneers?
Dental contact lenses are now associated with an aesthetically natural smile and their development involves modern computer graphics techniques and 3D printers.
Nowadays, however, we see that the old resin veneers are becoming more popular. Of course, it’s important to note that resin is a far inferior material to porcelain. Therefore, it is likely that the option of resin veneers has gained ground mainly due to their price and low treatment costs. Although resin veneers are a more economical option, they have a tendency to yellow over time and, in most cases, promote extra tooth volume. Resin veneers therefore offer no advantages over dental contact lenses.
See below for a video showing the differences between Porcelain Contact Lenses and Resin Veneers:
How are dental contact lenses made?
In a consultation, the patient is first examined and listened to by the dentist so that all their expectations are understood. Our team will then check whether this treatment is the right one for you.
At the ImplArt Clinic, not only the design but also the execution of the contact lenses is done using computerized systems. The computerized design is based on images obtained by an intraoral scanner.
A high-precision camera with Danish technology is passed over the teeth and a digital mold is created on the computer screen. The digital impression reproduces every detail, such as shape, color and texture. The images of the digital mold are used to plan the lenses, the choice of shade and the shape.

The aesthetic design takes into account that the lenses match the neighboring teeth, as well as each person’s face and personality. One of the great advantages of the computerized design of the lenses is that the treatment can be fully simulated and the patient can see what their teeth will look like. Once the design has been approved, the lenses are then made in 3D printers.
Preparing teeth for lenses: is there wear on the teeth?
Because dental contact lenses are ultra-thin, they have the great advantage of requiring little or no wear on the teeth in order to be bonded. The lenses are then bonded onto the prepared teeth with a type of dental adhesive.
It’s worth noting that dental contact lenses are firmer when bonded to the front teeth than to the back teeth. The work is almost always done without anesthesia in the area where the contact lenses will be placed, but when the preparation requires some wear that reaches the dentin, anesthesia is applied to avoid discomfort.
Watch the video below to see how the tooth is prepared to receive the Dental Contact Lens:
Read more: teeth whitening
Discover the before and after of dental contact lenses

Do dental contact lenses always have to be very white?
Many patients want to get contact lenses and are afraid that their smile will look too white and artificial. Certainly the choice of the color of the prostheses, including the lenses, generates expectation in the patient, as they are, after all, a fundamental part of the treatment. Dental contact lenses can produce very natural and harmonious results. First of all, it’s important to note that there is a very wide range of colors for computerized contact lenses. Of course, here at the ImplArt Clinic you will be guided to choose a shade that is in harmony with you, through visagism techniques and with professional guidance.

Color of contact lenses should be natural
Contact Lens treatment can be combined with crowns and implants
Yes, contact lens treatment can certainly be combined with other patient needs. Therefore, if the patient needs dental implants, dental crowns or contact lenses on other teeth, the treatment is planned together.
According to Dr. Markarian, our clinical director, the contact lenses are designed in computer graphics along with the dental crowns on implants. They are then printed on the modern 3D milling machines in our digital laboratory.
In this way, the smile presents natural and long-lasting final results. Both the teeth that have been fitted with Contact Lenses and those with dental implant crowns will have harmonious shades and shapes.
Some indications for dental contact lenses
- Covering stains on teeth (in the case of very dark stains, another treatment may be indicated)
- Tooth augmentation – suitable for people with very short teeth
- Change in the shape of the teeth
- Volume leveling between teeth
- Closing diastemas – closing the gap between teeth
- Correcting tooth asymmetry
- Texture correction, for example on teeth with worn enamel
- Repairing broken or chipped teeth
Major problems of asymmetry and misaligned teeth, in principle, cannot be solved with dental contact lenses, but with orthodontic treatment or Invisalign clear aligners.
Nowadays we can improve your case even further using facial harmonization techniques
Advantages of dental contact lenses
- High resistance and long durability of the dental contact lens
- Very aesthetic look, comparable to natural teeth
- Minimally invasive restorations
- Completely painless procedure
- They don’t require much tooth grinding to be installed
- Preserves the structure of the teeth
- No discomfort in chewing function
- Porcelain doesn’t change color over the years
- Incredibly natural and harmonious result
- It can be designed and executed in a short time, in some cases even in a Day Clinic.
Check out the ImplArt photo gallery
Dental contact lenses: disadvantages and contraindications
- People with many restorations
- Serious bruxism sufferers
- Weak teeth at risk of falling out or fracturing. For weak teeth it may be better to make a dental porcelain crown.
- Dental malocclusion and orthodontic problems.
- Missing teeth in the back of the mouth and the need for dental implants.
- Tooth decay, periodontal disease and gingivitis. These teeth should be treated first
- As the treatment is definitive, it is not possible to remove the lens and leave it without a replacement, as the tooth has been prepared for the placement of the lens (enamel wear). This is why the treatment must be well planned between dentist and patient to avoid regrets.

How long do dental contact lenses last?
The duration of dental contact lenses depends on certain precautions, such as:
- Good treatment planning and execution, important to promote the best adaptation of the lenses to the teeth and gums
- Good quality materials (porcelain and dental cement)
- Proper oral hygiene
- Regular visits to the dentist
- Use a brush with soft bristles and brush gently to avoid receding gums.
- Food (beware of acidic foods that can aggressively damage porcelain)
- Avoid biting your nails or chewing on hard objects
However, dental contact lenses have a limited lifespan and may need to be replaced after a few years (5 to 10 years).
Images of Dental Contact Lens and Implant treatments together.









Contact lenses price
Prices and values of dental treatments and dental contact lenses can only be given after a dental consultation. There are three main reasons for this:
- The Code of Ethics of the Federal Council of Dentistry prohibits dentists from carrying out consultations without evaluating the patient.
- Dental treatments can only be indicated after a careful assessment of the patient. There are numerous factors that influence the planning and price of a treatment, such as materials, techniques used, extent of the problem, etc.
- The third is the importance of being assessed by a professional dentist who makes dental lenses, who is attentive to all the details of oral health, not just aesthetics.
It is certainly important to emphasize that a dental treatment cannot be compared by its price. The value of a treatment involves several factors and choosing by price alone cannot be a determining factor. Choose the quality and seriousness of the professional, not just the price!
We at Clinica Dentaria ImplArt are on hand to answer any questions you may have about this important and renewing treatment! Contact us to schedule your evaluation appointment with Dr. Roberto Markarian, our clinical director. If you are far away, abroad or in another state, there is always the possibility of scheduling your appointment online.
Dr. Roberto Markarian, specialist in prosthodontics.
Text written by DR. ROBERTO MARKARIAN – CRO-SP 73.583
Founder and Director of the ImplArt Dental Clinic – Dr. Roberto’s Linkedin profile

Dr. Roberto Markarian is a reference in dental implants and computerized dental prostheses in Brazil. As well as having more than 10,000 implants installed, he is a researcher who produces knowledge that is published worldwide in renowned scientific journals in the field of dentistry. He is responsible for promoting knowledge and high technology applied in all the treatments offered by the ImplArt Clinic.
- Post-Doctorate in Implant Dentistry – Univ SL Mandic (Campinas-SP) – 2020
- PhD in Implant Dentistry – Doctor of Implant Dentistry, Univ SL Mandic – 2017
- Dr. Roberto Markarian Specialist in Dental Implants at USP (Implant Dentist) – 2008
- Specialist in Prosthodontics (Prosthodontist ) by the CFO – 2006
- Master in Prosthodontics, USP – 2005
- Graduated as a Dental Surgeon from USP (São Paulo) – 2001
- Member of the Clinical Staff of Hospital Alemão Oswaldo Cruz
schedule your appointment at the implart clinic by phone or whatsapp

📲(11) 3262-4750
📲WhatsApp(11) 3262-4750
Agende sua consulta agora por WhatsApp
Leave a Reply